Thứ Hai, 20 tháng 10 năm 2025
Thứ Hai, 20/10/2025 10:39
Sáng sớm, khi thành phố còn mờ sương, có những gánh xôi đã bắt đầu toả khói. Giữa dòng người vội vã, ít ai để ý rằng, phía sau nắm xôi thơm kia là cả một đời tảo tần.
Bà cụ trong câu chuyện này – một người mẹ đã 70 tuổi, từng nắm xôi bà gói, như gói cả tuổi trẻ và những năm tháng nhọc nhằn của đời mình,...Ngày nào cũng vậy, bà dậy từ tinh mơ, nhóm bếp, gói từng nắm xôi như thể gói cả hơi thở và nhịp sống của mình trong đó. Khó thở, mệt mỏi, cổ ngày càng to ra – nhưng bà vẫn làm, vẫn cười, vẫn nghĩ: “Mình còn gắng được thì con cháu còn đỡ.”
Đến khi không thể thở được nữa, bà mới chịu đến Bệnh viện Đại học Y Dược TP.Hồ Chí Minh – Cơ sở 2.
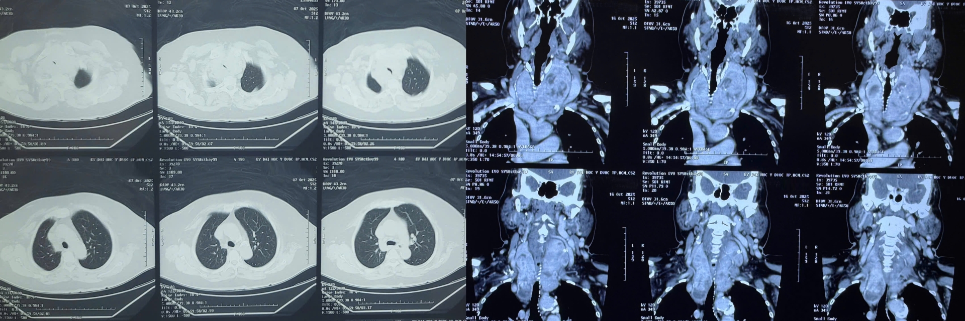
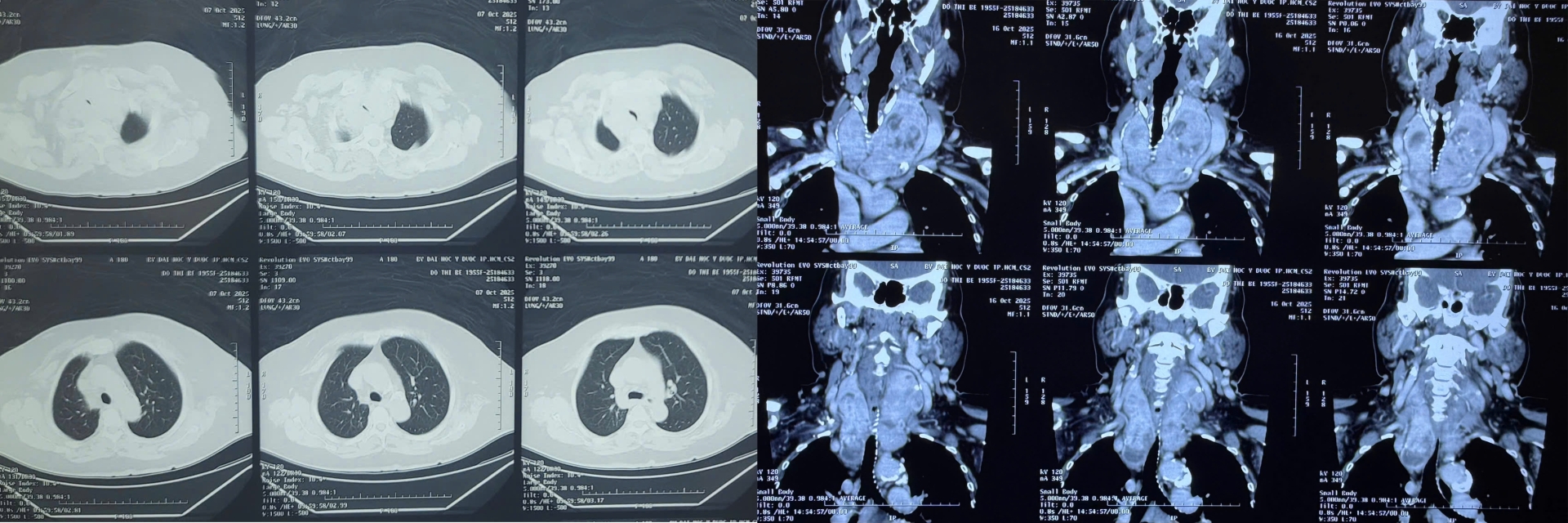
Kết quả kiểm tra cho thấy bà bị bướu giáp thòng trung thất kích thước lớn, chèn ép gần như toàn bộ khí quản, khiến việc hô hấp vô cùng khó khăn.
- Ths. Bs Nguyễn Khánh Quang – Khoa Ngoại Tổng Hợp, Phẫu thuật viên chính của ca mổ – chia sẻ:
“Đây là một ca mổ không hề đơn giản. Bướu giáp thòng xuống sâu, ôm sát khí quản và các mạch máu lớn trong trung thất. Chỉ cần sơ sẩy, bệnh nhân có thể mất đường thở ngay trên bàn mổ. Nhưng may mắn là ca phẫu thuật diễn ra thuận lợi, chúng tôi đã lấy trọn khối bướu, giải phóng hoàn toàn đường thở cho bệnh nhân.”
Song song với cuộc mổ đầy thách thức đó là cuộc chiến thầm lặng của đội ngũ gây mê hồi sức.
- TS.BS Nguyễn Thị Ngọc Đào – Khoa Gây mê Hồi sức – cho biết:
“Đường thở của bệnh nhân bị chèn ép nghiêm trọng, gần như xẹp hẳn ở đoạn dưới thanh quản. Việc gây mê và đặt nội khí quản vô cùng khó khăn, đòi hỏi sự phối hợp nhịp nhàng giữa các bác sĩ phẫu thuật và gây mê để đảm bảo an toàn tuyệt đối. Chúng tôi phải vừa kiểm soát đường thở, vừa theo dõi sát huyết áp, nhịp tim, oxy máu từng giây.
Khi khối bướu được lấy ra, nhìn bệnh nhân thở đều trở lại – đó là khoảnh khắc không ai trong ê-kíp có thể quên.”
Sau ca mổ, bà tỉnh lại, vết băng còn mới, giọng nói trong trẻo – và nụ cười thì sáng hơn bao giờ hết. Cái cười hiền của người đã đi qua gần hết một đời, chịu nhiều hơn cả đau mà chẳng bao giờ than thở.
Nhìn bà, ai cũng chợt nhớ đến hình bóng của mẹ, của bà, của những người phụ nữ cả đời chỉ biết sống vì người khác, thương không bằng lời, mà bằng sự lặng lẽ chịu đựng và hy sinh.


Nhân ngày Phụ nữ Việt Nam 20/10, Bệnh viện Đại học Y Dược TP.Hồ Chí Minh – Cơ sở 2 xin gửi lời tri ân đến tất cả những người mẹ, người bà, người phụ nữ Việt Nam – những người đã chọn yêu thương bằng cách âm thầm nhất, giản dị nhất, nhưng cũng bền bỉ nhất.
Thông tin liên hệ:
Bệnh viện Đại học Y Dược TP. Hồ Chí Minh - Cơ sở 2
ĐC: 201 Nguyễn Chí Thanh, P.Chợ Lớn, TP.Hồ Chí Minh
ĐT: 0283 9555548 - 0283 9555549
Website: bvdaihoccoso2.com.vn Email: bvdaihoccoso2@umc.edu.vn
Fanpage: Bệnh viện Đại học Y Dược - Cơ sở 2
Thứ Tư, 04 tháng 02 năm 2026
Tầm soát phát hiện sớm ung thư, phát hiện bất thường, giảm thiểu chi phí và nâng cao hiệu quả điều trị
Thứ Hai, 01 tháng 12 năm 2025
Hiểu về bệnh nang tổ lông vùng cùng cụt và phương pháp điều trị bằng vạt da